Спондилолистез - причина, симптомы, клинические признаки и лечение

Спондилолистез - причина, симптомы и лечение


Что на самом деле спондилолистез? Спондилолистез означает смещение позвонка или шейного позвонка - это может произойти вперед (антеролистез) или назад (ретролистез). Обычно это происходит в нижней части позвоночника. Наиболее распространенной формой спондилолистеза является тот, который поражает поясницу, - поясничный спондилолистез. Такой спондилолистез встречается в разной степени и в тяжелых случаях может включать в себя дефекты так называемых пар.
Причина спондилолистеза
Есть несколько возможных причин спондилолистеза.
Генетический / врожденный: Одна из наиболее распространенных причин этого диагноза заключается в том, что он рождается с ним.
Инфекция: При костных инфекциях, раке, ревматических заболеваниях (например, ревматический артрит) и различные заболевания суставов, позвонки могут быть сломаны и навсегда повреждены. Это может привести к смещению относительно его естественного положения из-за недостаточной несущей способности и прочности.
Травма / падение: Падение с высоты, автомобильная авария или аналогичная травма с большой нагрузкой на позвоночник, особенно на нижнюю часть, могут привести к смещению позвонков и их выходу из своего естественного положения.
Гимнастика и акробатика: Дети и молодые люди, занимающиеся гимнастикой и акробатикой, более склонны к спондилолистезу, чем другие. Предполагается, что это связано с большим вниманием к растяжению и повторяющейся нагрузке на позвоночник, который еще не полностью развит.

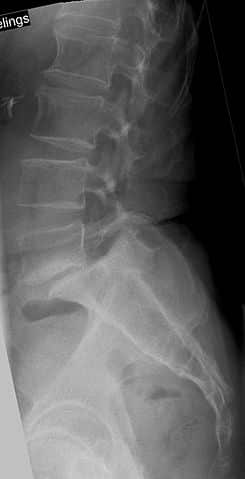
Спондилистез L5 над S1 виден на рентгенограмме.
Симптомы спондилолистеза
Важно отметить, что многие - возможно, большинство - со спондилолистезом протекают бессимптомно. Это означает, что они не знают, что у них есть перекос в спине, и что это их сильно беспокоит. Симптомы этого диагноза также довольно обобщены и пересекаются с рядом других диагнозов спины.
Некоторые из наиболее распространенных симптомов могут быть:
Люмбаго: При поясничном спондилолистезе это может привести к ряду компенсаций в мышцах и суставах. Они могут быть раздражены всеми дополнительными задачами и рады сообщить об этом, посылая сигналы боли.
Мышечная напряженность и мышечное напряжение: При поясничном спондилолистезе мышцы спины должны компенсировать неправильное положение сустава - это приводит к другой биомеханике, когда мышцы должны выполнять большую работу, чем у человека без спондилолистеза.
Направленная боль вниз по одной или обеим ногам: Смещение позвонков (особенно при спондилолистезе в самом низу поясницы) может вызвать раздражение, косвенное или прямое давление на близлежащие нервы. Это раздражение может быть причиной симптомов / заболеваний ишиаса, что является синонимом неврологических симптомов и боли в одной или обеих ногах.
Боль Так же, как и чрезмерная компенсация в мышцах спины, ягодичные мышцы также должны работать сверхурочно, чтобы стабилизировать ту часть спины, которая находится вне своего естественного положения. Это может вызвать чувство стеснения и скованности в тазу, а в некоторых случаях - ложный ишиас.
Лечение спондилолистеза
Физическая обработка: Лечение дисфункции мышц и суставов может обеспечить облегчение симптомов и функциональное улучшение, но должно сочетаться с упражнениями, если есть надежда на долгосрочное улучшение.
Хирургия / хирургия: Обычно это справедливо только для тех, у кого спондилолистез возник в результате автомобильной аварии или другой тяжелой травмы. Операция, как и другие операции на спине, сопряжена с высоким риском, и поэтому ее следует проводить только в случае крайней необходимости. Он также используется только в крайнем случае. Самая распространенная операция против спондилолистеза заключается в прикреплении пораженного позвонка к следующему позвонку - стальными винтами - во избежание дальнейшего разрушения. Как я уже сказал, мы не советуем этого делать, если в этом нет крайней необходимости - из-за высокой вероятности ухудшения состояния или поздних травм.
Обучение: Самое главное при спондилолистезе - это функциональные и крепкие мышцы кора и спины. Сильный корпус и спина стабилизируют позвоночник и уменьшают нагрузки, которые в противном случае приходились бы на суставы, связки и нервы. Если вы не уверены, какие тренировки это влечет за собой, или вам нужна программа упражнений - вам рекомендуется связаться с физиотерапевт или современный мануальный терапевт для создания индивидуальной программы обучения.
Специальная тренировка с упражнения групп может быть особенно эффективным в построении тазового дна и ягодичных мышц. Мышцы, которые необходимы для облегчения крестца и пояснично-крестцового соединения (где нижний поясничный позвонок встречается с крестцом). Ниже вы видите упражнение, которое используется против упражнений тазового дна и среди спортсменов (так называемое упражнение ØSTERS):

Соответствующее учебное оборудование: Тренировочные трюки - полный набор из 6 сильных сторон (нажмите здесь, чтобы узнать больше о них)
На следующей странице мы поговорим о возможном последствии спондилолистеза, а именно о нервных болях в ногах.
Следующая страница (нажмите здесь): Что вы должны знать об ISJIAS

- Не стесняйтесь следить за Vondt.net на YOUTUBE
- Не стесняйтесь следить за Vondt.net на FACEBOOK
Задавайте вопросы через наша бесплатная справочная служба? (нажмите здесь, чтобы узнать больше об этом)
- Не стесняйтесь использовать ссылку выше, если у вас есть вопросы
О нас
Vondt.net это сайт для здоровья Vondt клиники на опорно-двигательного аппарата, проводимых уполномоченными специалистами здравоохранения.
Рана клиника является профессиональной сетью, с более чем 60000 тысяч последователей, клиники, имеющим опытом в скелетно-мышечных заболеваниях. Вы можете найти одну из наших клиник или рекомендованную клинику рядом с вами по ссылке «НАЙТИ КЛИНИКУ».
ЗАПИСАТЬСЯ НА ПРИЕМ (Найти клинику)
Вы хотите пройти обследование и помочь вам с болью? Нажмите ее чтобы увидеть наши дочерние клиники и партнеров.
"